I know that this article is going to hype up a lot of feminists and I first and foremost have to apologize to my fellow men. But lets all admit it. Sometimes we do some dumb things. Sometimes we do some things that are so dumb, that we make God regret creating Adam. I’m sorry brothers but is the cold truth and we have to accept.

I know we do some dumb things sometimes because I am a man and I know men. We go ahead and leave every light on, take a shower, go to work while leaving the iron on and then we wonder why the light bill came so high last month.

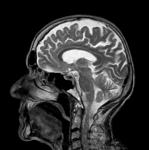
And to prove to you ladies that we do some dumb things, I have found scientific research. Don’t take advantage of this to bash on your man because he might not come home for one month. This is for you but don’t be using this against us. Are you ready? Ok, here we go. So the University of Oxford gathered around 121 participants, men and women from the age 4 to the age 40. They did an MRI scan to each and every one of them.

When the results came in, the doctors saw that for most women, they were all sharp and growing and maturing according to their age. However, when it came to men, some of us showed signs of continuous maturity even at the age of 40. So some of us, keep maturing until 40. That explains a lot. That’s why women are sharper than us and they tend to be smarter than us because we keep growing up until we are forty. That’s why people say that life starts after the ’40s.
Ok now hit that SHARE button so that your male friends can read about this!